Neuronawigacja – ratunkiem dla zdrowia

Neuronawigacja – ratunkiem dla zdrowia

04.12.2025

Nowoczesny sprzęt zakupiony w ramach projektu PL-UA, niestandardowe podejście i odważna decyzja neurochirurgów z Uniwersyteckiego Szpitala Klinicznego w Białymstoku (USK) pozwoliły uratować życie 30-letniego pacjenta. Innowacyjny sprzęt był kluczowym elementem przeprowadzenia tej wyjątkowo trudnej operacji.

Pan Adam w połowie 2025 r. zaczął mieć problemy z mówieniem. Potrafił odpowiadać na proste pytania „tak” lub „nie”, ale już skonstruowanie dłuższego zdania było wyzwaniem. Z czasem bliscy zauważyli, że zaczął pisać jak pierwszoklasista: wolno i niewyraźnie. Pojawił się też problem ze wzrokiem oraz niedowład ręki. Zwykłe odkręcenie butelki z wodą zrobiło się bardzo trudne. Po diagnostyce w jednym ze szpitali okazało się, że za te wszystkie dolegliwości odpowiada kilkucentymetrowa torbiel położona głęboko w mózgu. Lekarze zaproponowali bardzo obciążającą operację polegającą na otwarciu czaszki, wejściu do mózgu przez spoidło wielkie i usunięcie zmiany. Niestety operacja wiązała się z bardzo dużym uszkodzeniem mózgu, lekarze nie ukrywali, że po operacji mężczyzna może mieć problem z pamięcią czy nawet przestanie mówić.

Mój świat się zawalił. Moja żona była w zaawansowanej ciąży. Byliśmy tym wszystkim przerażeni.

– opowiada pan Adam.

Igłą w zmianę

Małżeństwo nie ustało jednak w poszukiwaniach innej drogi ratunku. Żona pana Adama trafiła w Internecie na informację o pacjencie, któremu białostoccy neurochirurdzy z Uniwersyteckiego Szpitala Klinicznego (USK) usunęli zmianę w mózgu przez oczodół. Wyczytała też, że białostocka Klinika Neurochirurgii specjalizuje się w małoinwazyjnych, endoskopowych operacjach mózgu. Postanowili zasięgnąć opinii w Białymstoku. Lekarze z USK zakwalifikowali pana Adama do zabiegu. Specjaliści zaczęli jednak szukać jeszcze mniej inwazyjnej drogi dotarcia do zmiany ponieważ obawiali się, że dotarcie endoskopem do tak głęboko położonej zmiany może wiązać się z ryzykiem powikłań neurologicznych.

Wymyśliliśmy, że dostaniemy się do zmiany igłą o średnicy około 2 mm, którą wykorzystujemy przy innych zabiegach tzw. DBS czyli głębokiej stymulacji mózgu i zdrenujemy tę zmianę.

– mówi dr Robert Chrzanowski, neurochirurg wykonujący zabieg.

Z badań tomografii wiedzieliśmy, że jest to torbiel z płynem o gęstości wody. I faktycznie udało nam się zdrenować zmianę. Ściągnęliśmy 11 cm sześciennych płynu.

Operacja odbyła się w październiku 2025 r. Kiedy pan Adam się obudził, bliscy od razu wiedzieli, że zabieg się powiódł.

Od razu zaczął mówić i to pełnymi zdaniami.

– relacjonował tata mężczyzny.

Pobrany w czasie operacji płyn przekazano do badania histopatologicznego. Pacjent będzie wymagał dalszego nadzoru aby w porę wykryć ewentualny nawrót zmiany.

Nowoczesność ratująca życie

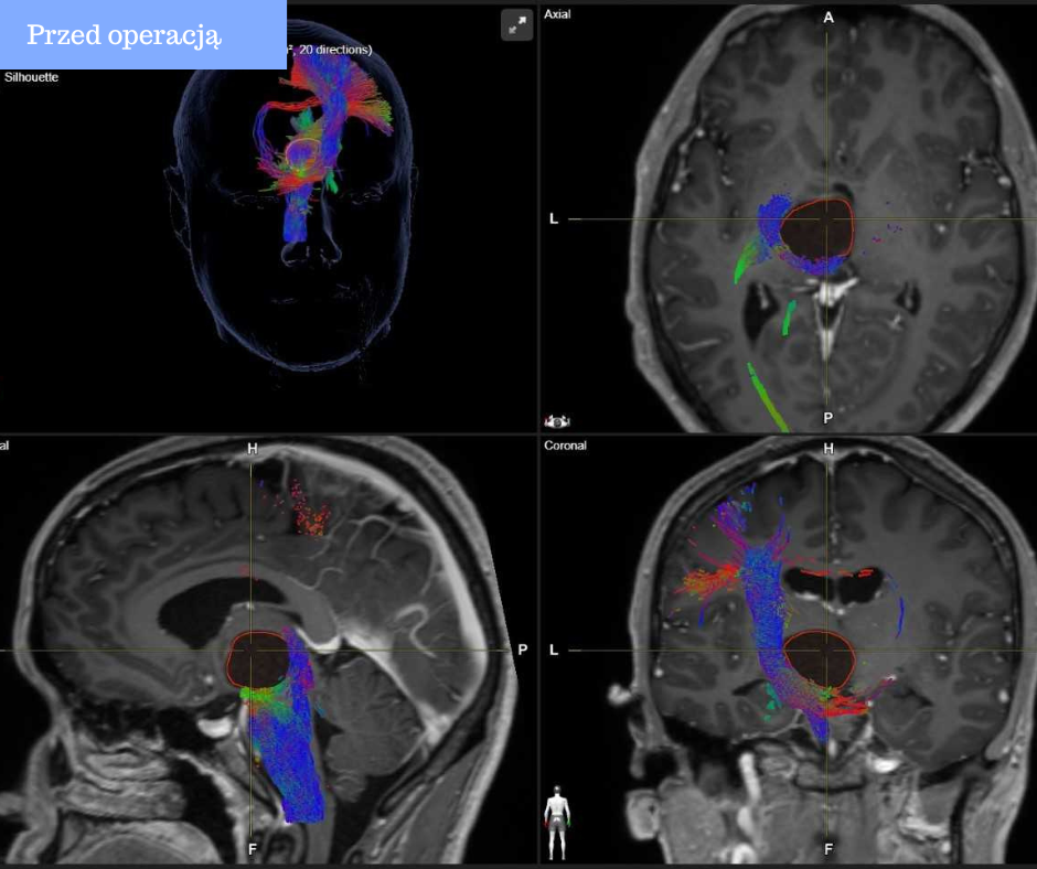
Rzeczniczka USK w Białymstoku Katarzyna Malinowska-Olczyk podkreśla, że podczas zabiegu zastosowano neuronawigację – supernowoczesne urządzenie, które szpital zakupił dzięki realizacji projektu „Neurodoskonałość bez granic” (akronim Neuroexcellence) realizowanego w Programie PL-UA.

Jesteśmy partnerem w projekcie prowadzonym przez Wołyński Obwodowy Szpital Kliniczny w Łucku (UA)

– mówi rzeczniczka.

Dzięki temu kupiliśmy sprzęt, który realnie ułatwia ratowanie zdrowia i życia pacjentów oraz pomaga nawet przy niestandardowych procedurach, jak ta u pana Adama.

Na nowoczesnym sprzęcie, który wczesną jesienią trafił do USK, w ramach projektu szkolili się już lekarze z białostockiego szpitala. Placówkę odwiedzili też medycy ze szpitala partnerskiego w Łucku.

Gościliśmy ich już dwukrotnie, w ramach współpracy przy projekcie. Mogli zobaczyć, jak wygląda opieka nad pacjentami w naszej klinice neurochirurgii, ale też jako obserwatorzy uczestniczyli w dwóch skomplikowanych operacjach neurochirurgicznych – w tej szeroko już opisywanej, dzięki której trafił do nas pan Adam, czyli usunięcie guza mózgu przez oczodół oraz drugiej w trakcie, które operowano zaawansowaną skoliozę idiopatyczną u 19-letniej pacjentki.

– wyjaśnia Katarzyna Malinowska-Olczyk, rzeczniczka szpitala.

Przypadek pana Adama pokazuje, jak dużą różnicę w codziennej pracy lekarzy może zrobić odpowiednio dobrany, nowoczesny sprzęt. Dzięki projektowi specjaliści z USK w Białymstoku mają dziś możliwość stosowania rozwiązań, które pozwalają przeprowadzać zabiegi mniej inwazyjnie, bezpieczniejsze dla pacjentów.

To przykład, że inwestycje realizowane w ramach Programu PL-UA podnoszą jakość leczenia z korzyścią dla kolejnych chorych trafiających pod opiekę białostockiej neurochirurgii.